Ung thư phổi dẫn đầu số ca mắc, di căn nhanh tại Việt Nam
Ung thư phổi đang là loại ung thư phổ biến nhất tại Việt Nam với số ca mắc cao nhất, đặc biệt nguy hiểm do khả năng di căn nhanh và thường phát hiện muộn, gây khó khăn trong điều trị.
Ung thư phổi đang là loại ung thư phổ biến nhất tại Việt Nam với số ca mắc cao nhất, đặc biệt nguy hiểm do khả năng di căn nhanh và thường phát hiện muộn, gây khó khăn trong điều trị.
Lương y Bùi Đắc Sáng chia sẻ về cây vối, một loại thảo dược phổ biến trong dân gian với nhiều lợi ích sức khỏe như thanh nhiệt, giải độc, hỗ trợ tiêu hóa và kháng khuẩn. Bài viết cung cấp thông tin chi tiết về thành phần, công dụng và cách sử dụng an toàn
Sáng 18.3, nhiều cơ sở tiêm chủng tại đặc khu Phú Quốc rơi vào tình trạng quá tải khi phụ huynh đổ xô đưa con đi tiêm vắc xin viêm não mô cầu, sau một ca tử vong học sinh chưa rõ nguyên nhân. Nhiều người phải chờ hàng giờ, trong khi nguồn cung vắc xin có
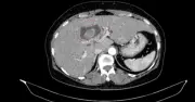
Một phụ nữ 59 tuổi được phát hiện đồng thời ung thư đại tràng và ung thư đường mật trong gan tại Bệnh viện Bạch Mai. Ca phẫu thuật triệt căn thành công nhờ thăm khám toàn diện và hội chẩn đa chuyên khoa.
Danh sách chung đồng bộ thời gian thực. Không cần đăng ký — mở và mua sắm cùng nhau.
Đề xuấtNghiên cứu dinh dưỡng cho thấy việc bỏ hoàn toàn đồ ăn vặt có thể khiến bạn khó giảm cân hơn do ăn quá nhiều trong bữa chính. Chuyên gia khuyến nghị lựa chọn thực phẩm lành mạnh và duy trì chế độ cân bằng.
Bài viết cảnh báo về các mối nguy hiểm tiềm ẩn khi tiêu thụ gỏi cá, hải sản tươi sống và tiết canh, bao gồm nhiễm ký sinh trùng, vi khuẩn gây bệnh nghiêm trọng, cùng các biện pháp phòng ngừa thiết thực.
Cơ sở 2 của Bệnh viện Phụ sản Trung ương tại Hà Nội đã khánh thành và đang hoàn thiện thủ tục cuối cùng để đi vào hoạt động, với hệ thống trang thiết bị hiện đại và đội ngũ nhân lực chất lượng cao, nhằm giảm tải cho cơ sở chính và nâng cao dịch vụ y tế.
Bệnh viện đa khoa Vũng Tàu phối hợp với Bệnh viện Nhân Dân Gia Định thực hiện thành công ca phẫu thuật cấp cứu cho bệnh nhân chấn thương sọ não nặng, đồng thời xử lý ca chấn thương mặt phức tạp với Bệnh viện Răng Hàm Mặt TP.HCM.
Bệnh nhân V.Q.C (30 tuổi) bị chấn thương sọ não nặng sau tai nạn giao thông tại Vũng Tàu đã qua cơn nguy kịch, sức khỏe ổn định sau ca phẫu thuật khẩn cấp do các bác sĩ Bệnh viện đa khoa Vũng Tàu và Bệnh viện Nhân dân Gia Định phối hợp thực hiện.
Danh sách chung đồng bộ thời gian thực. Không cần đăng ký — mở và mua sắm cùng nhau.
Đề xuấtNghiên cứu y học hiện đại chỉ ra, duy trì nhịp sống quá nhanh làm tăng nguy cơ bệnh mạn tính. Người sống thọ thường không vội vàng, họ biết chậm đúng lúc từ ăn uống, vận động đến ứng xử.
Bệnh viện Hoàn Mỹ Cửu Long vừa cứu sống nam bệnh nhân 53 tuổi ngưng tim gần 1 giờ do nhồi máu cơ tim cấp, liên quan đến thói quen hút thuốc, uống cà phê và thức khuya. Ca cấp cứu thành công sau 20 lần sốc điện và can thiệp mạch vành khẩn cấp.
Sốt cao, nổi ban, tổn thương da sau khi uống thuốc có thể là dấu hiệu dị ứng nghiêm trọng, đe dọa tính mạng. Chuyên gia y tế khuyến cáo cách xử trí kịp thời.
Hơn 90% người trưởng thành mang virus gây bệnh zona tiềm ẩn, với nguy cơ mắc bệnh tăng cao ở nhóm có bệnh tim mạch, đái tháo đường, thận mạn. Các chuyên gia khuyến nghị phòng ngừa tích hợp để giảm biến chứng.
Một người đàn ông bị chấn thương sọ não nặng đã được cứu sống nhờ sự phối hợp kịp thời giữa Bệnh viện Đa khoa tỉnh và Bệnh viện Chợ Rẫy, qua đó minh chứng cho hiệu quả của công tác chuyển tuyến trong cấp cứu.
Danh sách chung đồng bộ thời gian thực. Không cần đăng ký — mở và mua sắm cùng nhau.
Đề xuấtMột bệnh nhân ung thư vò đại tràng đã phải nhập viện trong tình trạng nguy kịch sau khi việc điều trị bị tri hoãn 10 ngày. Sự chậm trễ này đã khiến tình trạng sức khỏe của bệnh nhân xấu đi nghiêm trọng, đặt ra câu hỏi về quy trình chăm sóc y tế.
Tình trạng một số tổ chức, cá nhân lợi dụng các chương trình khám chữa bệnh nhân đạo để tập hợp bệnh nhân có bảo hiểm y tế, sau đó đưa vào bệnh viện khám chữa bệnh nhằm trục lợi từ quỹ bảo hiểm đang gây bức xúc và tiềm ẩn nhiều rủi ro.
Một người đàn ông trẻ tuổi đã phải đối mặt với suy thận giai đoạn cuối do thói quen ăn uống và sinh hoạt thiếu lành mạnh, cảnh báo về những sai lầm nhiều người Việt đang mắc phải trong cuộc sống hiện đại.
Bộ Y tế đề xuất chính sách hỗ trợ tài chính, chăm sóc sức khỏe cho phụ nữ sinh con nhằm ứng phó với tình trạng mức sinh giảm thấp tại nhiều địa phương, đặc biệt là khu vực Đông Nam Bộ và Đồng bằng sông Cửu Long.
Bệnh viện Nhân dân 115 (TPHCM) đã thực hiện thành công ca vi phẫu phức tạp nối liền 4 ngón tay đứt lìa hoàn toàn cho bệnh nhân 64 tuổi sau tai nạn lao động, với quá trình phẫu thuật kéo dài 8 giờ.
Danh sách chung đồng bộ thời gian thực. Không cần đăng ký — mở và mua sắm cùng nhau.
Đề xuấtCâu chuyện của ông Triệu (68 tuổi) cho thấy tập thể dục quá mức có thể gây hại. Bài viết phân tích ba thói quen vận động khoa học cho người trên 60 tuổi, dựa trên khuyến nghị của WHO và CDC.
Trà đá là thức uống phổ biến nhưng tiềm ẩn nguy cơ gây sỏi thận và ảnh hưởng tiêu hóa do hàm lượng oxalate cao và nhiệt độ lạnh. Bài viết phân tích chi tiết các tác động và khuyến cáo sử dụng hợp lý.
Bộ Y tế dự thảo Nghị định quy định chi tiết Luật Dân số, dự kiến có hiệu lực từ 1/7/2026. Lao động nữ sinh con thứ hai được nghỉ thai sản 7 tháng với trợ cấp 100% lương, cùng hỗ trợ tài chính 2 triệu đồng và mở rộng quyền nghỉ cho nam giới.
Vào 20h thứ Tư ngày 18/3/2026, các chuyên gia hàng đầu từ Bệnh viện Đa khoa Tâm Anh Hà Nội sẽ trực tiếp giải đáp thắc mắc về khám sức khỏe tổng quát công nghệ cao, giúp tầm soát sớm bệnh lý cho dân văn phòng. Chương trình được phát sóng trên nhiều nền tản
Bộ Y tế vừa cấp giấy đăng ký lưu hành cho vaccine Envacgen phòng bệnh tay chân miệng do virus EV71, mang đến hy vọng giảm biến chứng nặng ở trẻ nhỏ trong bối cảnh bệnh vẫn xuất hiện rải rác.
Danh sách chung đồng bộ thời gian thực. Không cần đăng ký — mở và mua sắm cùng nhau.
Đề xuấtTheo Hiệp hội Tim mạch Mỹ và Tổ chức Y tế thế giới, việc đo huyết áp không đúng cách có thể cho kết quả sai lệch, ảnh hưởng đến đánh giá sức khỏe tim mạch. Các chuyên gia khuyến cáo quy trình đo chuẩn xác để phát hiện sớm nguy cơ.
Sau gần 20 năm đồng hành cùng người Việt, Kingsport vinh dự lọt vào Top 3 thương hiệu chăm sóc sức khỏe quốc gia 2026 và Top 10 công ty thiết bị y tế uy tín 2025, khẳng định vị thế dẫn đầu trong ngành.
Bác sĩ Nguyễn Triệu Vũ, Trưởng khoa Tuyến vú Bệnh viện Đại học Y Dược TP.HCM, chia sẻ về mục tiêu xây dựng trung tâm chuyên sâu, kết hợp đa chuyên khoa và nâng cao nhận thức cộng đồng để cải thiện chất lượng sống cho bệnh nhân ung thư vú.
Ông Wei, 55 tuổi ở Trung Quốc, mắc cùng lúc ung thư phổi, thanh quản và đại trực tràng do hút thuốc lá nặng suốt mấy chục năm. Dù được bác sĩ khuyên bỏ thuốc để điều trị, ông vẫn từ chối, cho thấy sự lệ thuộc khủng khiếp vào chất độc hại này.
Nghiên cứu y khoa quốc tế khẳng định chỉ cần duy trì khoảng 7.000 bước mỗi ngày đã mang lại lợi ích sức khỏe đáng kinh ngạc, giảm nguy cơ tử vong, sa sút trí tuệ và bệnh tim mạch. Mục tiêu 10.000 bước thực chất chỉ là khẩu hiệu marketing từ năm 1965.
Danh sách chung đồng bộ thời gian thực. Không cần đăng ký — mở và mua sắm cùng nhau.
Đề xuấtChiều cao của trẻ không chỉ phụ thuộc vào di truyền. Trong giai đoạn dậy thì, nếu được chăm sóc đúng cách với dinh dưỡng, vận động và giấc ngủ hợp lý, trẻ có thể tăng 10-12 cm mỗi năm.