Say nắng tử vong: 4 việc cấp kỵ mùa hè
Một người đàn ông 30 tuổi tử vong vì say nắng sau 2 giờ làm việc ngoài trời. Bác sĩ cảnh báo 4 thói quen nguy hiểm trong mùa hè cần tránh ngay.
Một người đàn ông 30 tuổi tử vong vì say nắng sau 2 giờ làm việc ngoài trời. Bác sĩ cảnh báo 4 thói quen nguy hiểm trong mùa hè cần tránh ngay.
Nắng nóng cực đoan trên 40 độ C không chỉ gây kiệt sức, mất nước mà còn khiến nhiều bệnh nhân tâm thần nhập viện vì kích động, la hét, rối loạn tâm thần cấp tính.
Do nắng nóng kéo dài, số bệnh nhân nhập viện cấp cứu tại các bệnh viện ở Hà Nội tăng 20-30%, chủ yếu là người già và trẻ em mắc các bệnh về hô hấp, tim mạch.
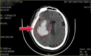
Bệnh viện Hữu nghị Việt Đức vừa thực hiện thành công 21 ca ghép tạng từ 3 người cho chết não, bao gồm tim, phổi, gan, thận và khí quản, đánh dấu bước tiến vượt bậc trong lĩnh vực ghép tạng tại Việt Nam.
Danh sách chung đồng bộ thời gian thực. Không cần đăng ký — mở và mua sắm cùng nhau.
Đề xuấtTăng huyết áp là 'kẻ giết người thầm lặng', không triệu chứng rõ ràng nhưng âm thầm gây tổn thương tim mạch, dẫn đến nhồi máu cơ tim, đột quỵ ngay cả ở người trông khỏe mạnh.
Nhiệt độ ban đêm tăng cao tại Ấn Độ đang tước đi thời gian phục hồi quý giá, gây áp lực sinh lý nặng nề lên cơ thể, đặc biệt là hệ tim mạch. Biến đổi khí hậu và hiệu ứng đảo nhiệt đô thị là nguyên nhân chính.
Trước diễn biến phức tạp của dịch Ebola tại châu Phi, Bộ Y tế vừa ban hành hướng dẫn mới về chẩn đoán và điều trị, bổ sung 6 chủng virus, cập nhật xét nghiệm, điều trị và vaccine.
Nắng nóng gay gắt kéo dài tại nhiều tỉnh thành, Bộ Nông nghiệp và Môi trường đã phát đi cảnh báo khẩn về nguy cơ cháy rừng và ảnh hưởng đến sản xuất nông nghiệp.
Áp dụng các thay đổi nhỏ trong sinh hoạt hằng ngày có thể hỗ trợ giảm acid uric tự nhiên, ngăn ngừa bệnh gout và sỏi thận hiệu quả.
Danh sách chung đồng bộ thời gian thực. Không cần đăng ký — mở và mua sắm cùng nhau.
Đề xuấtBộ Y tế đang nỗ lực tháo gỡ vướng mắc, khó khăn nhằm nâng cao hiệu quả công tác khám sức khỏe định kỳ cho người dân, đảm bảo quyền lợi chăm sóc sức khỏe toàn diện.
Bệnh viện Nhi Đồng Thành Phố cứu sống nam sinh 15 tuổi bị sốc nhiệt nặng sau khi đá bóng dưới trời nắng, biến chứng hủy cơ, suy gan thận. Các bác sĩ cảnh báo cách phòng tránh say nắng.
Một thiếu niên 15 tuổi suýt tử vong vì sốc nhiệt sau nhiều giờ đá bóng dưới trời nắng gắt. Các bác sĩ cảnh báo nguy cơ sốc nhiệt ở trẻ em trong mùa hè.
Một vụ hỏa hoạn lớn đã xảy ra tại nhà máy tôn Hoa Sen ở Khu công nghiệp Tân Tạo, TPHCM, lực lượng chức năng đang khẩn trương dập lửa.
Bệnh viện Sản - Nhi tỉnh Quảng Ngãi vừa phẫu thuật thành công cho bệnh nhân nữ có khối u xơ tử cung nặng 4,5 kg. Sức khỏe bệnh nhân hiện đã ổn định.
Danh sách chung đồng bộ thời gian thực. Không cần đăng ký — mở và mua sắm cùng nhau.
Đề xuấtBộ Y tế ban hành hướng dẫn mới về chẩn đoán và điều trị Ebola, yêu cầu cách ly nghiêm ngặt ca nghi nhiễm, với tỷ lệ tử vong trung bình 50%, có thể lên tới 90%.
Sự kiện ký kết hợp tác giữa tổ chức chuyên môn, doanh nghiệp và y tế cơ sở nhằm ứng phó với gánh nặng bệnh không lây nhiễm, đặc biệt là tăng huyết áp và đái tháo đường, thông qua mô hình kết nối bệnh viện, cộng đồng và công nghệ số.
Tổng Giám đốc Africa CDC, Jean Kaseya, thông báo dịch Ebola bùng phát tại Congo và Uganda với 906 ca nghi nhiễm, 204 ca tử vong. WHO nâng mức rủi ro lên rất cao, cảnh báo lây lan nhanh.
Trung tâm Kiểm soát và Phòng ngừa Dịch bệnh châu Phi cùng Tổ chức Y tế Thế giới lo ngại dịch Ebola bùng phát tại Uganda có nguy cơ lan rộng sau khi ghi nhận hơn 200 ca tử vong.
Giới chức y tế Tây Ban Nha xác nhận một ca nhiễm virus Hanta trong số những người đang cách ly, làm dấy lên lo ngại về sự lây lan của bệnh.
Danh sách chung đồng bộ thời gian thực. Không cần đăng ký — mở và mua sắm cùng nhau.
Đề xuấtLiên tiếp bệnh nhân xơ gan nhập viện vì nôn ra máu, bụng chướng, suy kiệt do không bỏ rượu và tự ý dùng thuốc Nam. Bác sĩ cảnh báo biến chứng nguy hiểm.
Bà Nguyễn Thị Mỹ Chi ở Đồng Tháp vừa mắc ung thư vú giai đoạn cuối, vừa chăm con gái 3 tuổi bị động kinh, bại não. Hoàn cảnh khó khăn cần cộng đồng chung tay.
Nhiều công nghệ nhãn khoa hiện đại giúp kiểm soát tiến triển cận thị, xóa cận an toàn, ít xâm lấn, phục hồi nhanh, tối ưu thị lực. Chuyên gia tư vấn trực tuyến ngày 26.5.2026.
Ngừng tim đột ngột có thể xảy ra với người khỏe mạnh khi chạy bộ. Nhận biết dấu hiệu cảnh báo và kỹ thuật CPR, AED giúp cứu sống người bệnh.
Cập nhật danh sách các bệnh truyền nhiễm bắt buộc phải tiêm vắc xin trong Chương trình Tiêm chủng Mở rộng Quốc gia, giúp bảo vệ sức khỏe cộng đồng.
Danh sách chung đồng bộ thời gian thực. Không cần đăng ký — mở và mua sắm cùng nhau.
Đề xuấtNắng nóng kéo dài khiến nhiều ca say nắng, sốc nhiệt nhập viện tại Phú Thọ. Có bệnh nhân hôn mê sâu, suy đa tạng sau khi làm việc ngoài trời. Cảnh báo nguy cơ từ lao động dưới nắng gắt.
Thạc sĩ - bác sĩ Võ Thị Tố Hi cảnh báo nguy cơ ngộ độc từ thực phẩm để qua đêm nếu bảo quản sai cách, đặc biệt trong thời tiết nóng ẩm. Cần tuân thủ nguyên tắc bảo quản và hâm nóng để đảm bảo an toàn.
Chương trình tiêm chủng mở rộng quy định các bệnh bắt buộc phải tiêm phòng, bao gồm lao, bạch hầu, ho gà, uốn ván, bại liệt, viêm gan B, sởi, rubella, viêm phổi do Hib, tiêu chảy do rotavirus, cúm mùa và COVID-19. Việc tiêm chủng đầy đủ giúp bảo vệ sức kh
WHO cảnh báo dịch Ebola đang lan nhanh tại CHDC Congo với hơn 900 ca nghi nhiễm, đặt nhiều quốc gia vào tình trạng báo động đỏ, cần can thiệp khẩn cấp.
Khám phá 7 loại thực phẩm giàu vitamin C hơn cam như ớt chuông, kiwi, dâu tây, giúp tăng cường miễn dịch và sức khỏe.
Danh sách chung đồng bộ thời gian thực. Không cần đăng ký — mở và mua sắm cùng nhau.
Đề xuấtArgentina chính thức rút khỏi Tổ chức Y tế Thế giới (WHO) trong bối cảnh nước này đang đối mặt với lo ngại về dịch virus Hanta. Quyết định được đưa ra sau nhiều tranh luận.