Bệnh viện Bạch Mai điều trị thành công ca hiếm mắc đồng thời ung thư phổi và tuyến tiền liệt
Theo thông tin từ Bệnh viện Bạch Mai, một nam bệnh nhân đã nhập viện trong tình trạng tiểu khó kéo dài, báo hiệu những vấn đề sức khỏe nghiêm trọng. Qua quá trình thăm khám kỹ lưỡng và thực hiện các kỹ thuật cận lâm sàng tiên tiến như chụp cắt lớp vi tính, cộng hưởng từ, xạ hình xương và đặc biệt là PET/CT, các bác sĩ đã phát hiện ra tổn thương tại tuyến tiền liệt cùng với nhiều khối u ở phổi, tuyến thượng thận và xương.
Thách thức trong chẩn đoán và điều trị
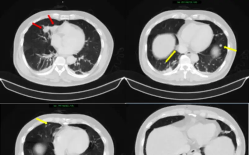
Thách thức lớn nhất trong trường hợp này là xác định bản chất của các tổn thương: đâu là khối u nguyên phát và đâu là di căn. Nếu chẩn đoán không chính xác, việc lựa chọn phương pháp điều trị có thể bị sai lệch, ảnh hưởng trực tiếp đến hiệu quả điều trị và tiên lượng của bệnh nhân. Hình ảnh từ các xét nghiệm cho thấy hai khối u bờ đa cung ở nhu mô thùy giữa phổi phải, dính vào màng phổi trung thất, kèm theo nhiều nốt đặc nhỏ rải rác ở nhu mô phổi hai bên, gợi ý tổn thương thứ phát.
Tại bệnh viện, kết quả sinh thiết và phân tích mô bệnh học kết hợp với hóa mô miễn dịch đã giúp làm rõ tình hình: khối u ở phổi là ung thư biểu mô tuyến của phổi, trong khi khối u tại tuyến tiền liệt là ung thư biểu mô tuyến với điểm Gleason 9, thuộc nhóm nguy cơ cao. Điều đáng chú ý là hai loại ung thư này có nguồn gốc hoàn toàn khác nhau, không phải là di căn chéo, xác nhận đây là một trường hợp đa ung thư nguyên phát đồng thì.
Phác đồ điều trị và kết quả tích cực
Sau khi hội chẩn chuyên môn, các bác sĩ đã xây dựng một phác đồ điều trị phù hợp, ưu tiên kiểm soát bệnh toàn thân. Cụ thể, bệnh nhân được chỉ định hóa trị ung thư phổi bằng phác đồ Pemetrexed kết hợp Carboplatin, đồng thời điều trị nội tiết cho ung thư tuyến tiền liệt bằng Degarelix. Đáng chú ý, sau 2-3 tháng điều trị, tình trạng của bệnh nhân đã ổn định, các triệu chứng lâm sàng được cải thiện rõ rệt, và các chỉ số dấu ấn ung thư có xu hướng giảm, cho thấy đáp ứng điều trị bước đầu rất tích cực.
Ý nghĩa và khuyến cáo từ chuyên gia
Theo các chuyên gia y tế, tình trạng đa ung thư nguyên phát đồng thì (Synchronous Multiple Primary Malignancies) là khi hai hoặc nhiều khối u ác tính xuất hiện độc lập trong một khoảng thời gian ngắn. Mặc dù ung thư phổi và ung thư tuyến tiền liệt đều là những bệnh lý thường gặp ở nam giới, song việc chúng cùng xuất hiện trên một bệnh nhân là tương đối hiếm gặp.
Các bác sĩ nhấn mạnh rằng, việc phân biệt ung thư nguyên phát với tổn thương di căn là vô cùng quan trọng, không chỉ giúp lựa chọn đúng phác đồ điều trị mà còn góp phần nâng cao hiệu quả điều trị và cải thiện chất lượng sống cho người bệnh. Bên cạnh đó, các chuyên gia khuyến cáo rằng, với sự phát triển của y học hiện đại, ngày càng có nhiều trường hợp mắc đa ung thư nguyên phát được ghi nhận. Do đó, việc thăm khám định kỳ, phát hiện sớm và phối hợp đa chuyên khoa trong chẩn đoán và điều trị là yếu tố then chốt giúp kiểm soát bệnh một cách hiệu quả.



