Bệnh viện Nhân dân 115 cứu sống bệnh nhân Nga bị tai nạn giao thông đa chấn thương
Ngày 12-2, Bệnh viện Nhân dân 115 tại Thành phố Hồ Chí Minh đã công bố thông tin về một ca điều trị thành công cho nam bệnh nhân O.G, 37 tuổi, quốc tịch Nga, người bị tai nạn giao thông dẫn đến đa chấn thương nghiêm trọng. Bệnh nhân được đưa đến bệnh viện trong tình trạng khó thở nhiều, đau ngực và vai phải, với dấu hiệu suy hô hấp tiến triển nhanh chóng.
Chẩn đoán và xử trí khẩn cấp
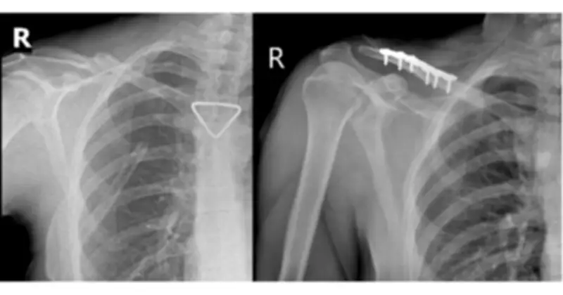
Ngay khi tiếp nhận, các bác sĩ đã khẩn trương thực hiện CT scan lồng ngực và mạch máu khẩn cấp. Kết quả cho thấy bệnh nhân bị tràn khí màng phổi phải lượng nhiều, gây chèn ép phổi, kèm theo gãy cung bên xương sườn thứ 2, 3, 4 phải và gãy phức tạp 1/3 giữa xương đòn phải với di lệch nhiều và mảnh rời. Trước nguy cơ suy hô hấp nặng, ê-kíp Khoa Phẫu thuật Tim – Lồng ngực – Mạch máu đã tiến hành đặt dẫn lưu màng phổi phải cấp cứu, do TS-BS Đồng Đức Hưng trực tiếp thực hiện.
Nhờ xử trí nhanh chóng và chính xác, phổi phải của bệnh nhân đã nở lại tốt, và tình trạng hô hấp cải thiện rõ rệt chỉ sau vài giờ. Sau hai ngày điều trị hậu phẫu, chức năng hô hấp ổn định, ống dẫn lưu được rút, và bệnh nhân được chuyển sang Khoa Điều trị theo yêu cầu – Y học thể thao để tiếp tục xử trí chấn thương xương đòn.
Phẫu thuật và phục hồi
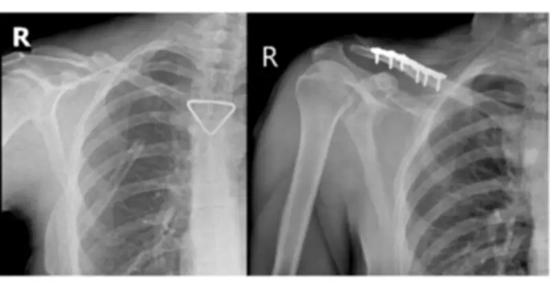
Qua hội chẩn liên chuyên khoa và đánh giá của bác sĩ gây mê hồi sức, bệnh nhân được xác định đủ điều kiện an toàn để thực hiện phẫu thuật kết hợp xương đòn phải bằng nẹp vít. Ca mổ do ê-kíp BSCKII Trần Văn Dương và BS Phạm Ngọc Huy thực hiện, diễn ra thuận lợi với nẹp vít được đặt vững chắc và trục xương phục hồi giải phẫu tốt.
Sau phẫu thuật, bệnh nhân hồi phục nhanh chóng, vận động tay phải cải thiện từng ngày và xuất viện sau 4 ngày điều trị tại khoa trong tình trạng sức khỏe ổn định. Dù gặp rào cản ngôn ngữ và không có người thân bên cạnh, anh O.G luôn nhận được sự hỗ trợ tận tình từ đội ngũ y bác sĩ và điều dưỡng.
Chăm sóc toàn diện
Từ khâu giải thích tình trạng bệnh, chăm sóc hậu phẫu đến hướng dẫn vận động phục hồi chức năng, mọi quy trình đều được thực hiện một cách chu đáo và chuyên nghiệp. Điều này không chỉ giúp bệnh nhân vượt qua giai đoạn nguy kịch mà còn đảm bảo quá trình phục hồi diễn ra suôn sẻ và hiệu quả.
Trường hợp này một lần nữa khẳng định năng lực và sự tận tâm của Bệnh viện Nhân dân 115 trong việc xử lý các ca cấp cứu phức tạp, đặc biệt là với bệnh nhân nước ngoài, góp phần nâng cao uy tín của ngành y tế Việt Nam trên trường quốc tế.



