Du khách Nga bị tai nạn giao thông được cứu sống kịp thời tại TP.HCM
Một du khách người Nga đã may mắn thoát khỏi nguy kịch sau khi gặp tai nạn giao thông nghiêm trọng tại Thành phố Hồ Chí Minh. Các bác sĩ tại Bệnh viện Nhân dân 115 đã kịp thời can thiệp, cứu sống bệnh nhân này khỏi tình trạng đa chấn thương nguy hiểm.
Tình trạng nguy kịch khi nhập viện
Vào ngày 12 tháng 2 năm 2026, bệnh nhân O.G (37 tuổi, quốc tịch Nga) được đưa đến Bệnh viện Nhân dân 115 trong tình trạng hết sức nguy cấp. Anh bị đa chấn thương với các triệu chứng khó thở nhiều, đau ngực và vai phải, cùng dấu hiệu suy hô hấp tiến triển nhanh chóng. Ngay lập tức, ê-kíp y bác sĩ đã tiến hành chụp CT scan lồng ngực và mạch máu khẩn cấp để đánh giá thương tổn.
Kết quả chẩn đoán cho thấy bệnh nhân bị tràn khí màng phổi phải lượng nhiều, gây chèn ép phổi nghiêm trọng. Ngoài ra, anh còn bị gãy cung bên xương sườn thứ 2, 3, 4 bên phải và gãy phức tạp một phần ba giữa xương đòn phải với di lệch nhiều kèm mảnh rời. Tình trạng này đe dọa trực tiếp đến tính mạng do nguy cơ suy hô hấp nặng.
Quá trình cấp cứu và điều trị chuyên sâu
Trước nguy cơ suy hô hấp nặng, ê-kíp Khoa Phẫu thuật Tim – Lồng ngực – Mạch máu đã khẩn trương thực hiện đặt dẫn lưu màng phổi phải cấp cứu. Ca thủ thuật do Tiến sĩ – Bác sĩ Đồng Đức Hưng trực tiếp thực hiện. Nhờ xử trí nhanh chóng và chính xác, phổi phải của bệnh nhân đã nở lại tốt, tình trạng hô hấp cải thiện rõ rệt chỉ sau vài giờ.
Sau hai ngày điều trị hậu phẫu, chức năng hô hấp đã ổn định và ống dẫn lưu được rút. Bệnh nhân được chuyển sang Khoa Điều trị theo yêu cầu – Y học thể thao để tiếp tục xử trí chấn thương xương đòn. Qua hội chẩn liên chuyên khoa và đánh giá của bác sĩ gây mê hồi sức, người bệnh đủ điều kiện an toàn để thực hiện phẫu thuật kết hợp xương đòn phải bằng nẹp vít.
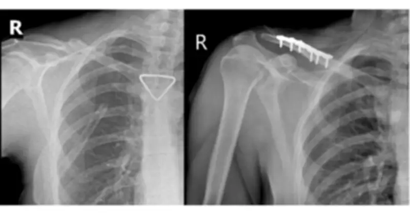
Ca mổ do ê-kíp Bác sĩ chuyên khoa II Trần Văn Dương và Bác sĩ Phạm Ngọc Huy thực hiện, diễn ra thuận lợi. Nẹp vít được đặt vững chắc, trục xương phục hồi giải phẫu tốt, như minh chứng qua hình ảnh X-quang trước và sau mổ.
Phục hồi nhanh chóng và sự hỗ trợ tận tình
Sau phẫu thuật, bệnh nhân hồi phục nhanh chóng, vận động tay phải cải thiện từng ngày. Anh xuất viện sau 4 ngày điều trị tại khoa trong tình trạng sức khỏe ổn định. Dù gặp rào cản ngôn ngữ và không có người thân bên cạnh, anh O.G luôn nhận được sự hỗ trợ tận tình từ đội ngũ y bác sĩ và điều dưỡng.
Từ khâu giải thích tình trạng bệnh, chăm sóc hậu phẫu đến hướng dẫn vận động phục hồi chức năng, mọi quy trình đều được thực hiện chu đáo và chuyên nghiệp. Điều này không chỉ giúp bệnh nhân vượt qua cơn nguy kịch mà còn tạo điều kiện thuận lợi cho quá trình hồi phục toàn diện.
Sự kiện này một lần nữa khẳng định năng lực cấp cứu và điều trị của hệ thống y tế Thành phố Hồ Chí Minh, đặc biệt trong việc ứng phó với các ca chấn thương phức tạp từ tai nạn giao thông. Đây là minh chứng rõ nét cho sự phối hợp nhịp nhàng giữa các chuyên khoa và tinh thần trách nhiệm cao của đội ngũ y tế.



